Diagnostische Herzkatheteruntersuchung

Diagnostische Herzkatheter-untersuchung

(Koronarangiographie)

Die diagnostische Herzkatheteruntersuchung wird zur Darstellung der Herzkranzgefäße und Erkennung einer koronaren Herzerkrankung (KHK) durchgeführt.

Nach einer örtlichen Betäubung führen wir die Untersuchung über einen Gefäßzugang der Arterie in der Leiste oder am Handgelenk durch. Ein dünner und flexibler Kunststoffschlauch (Katheter) wird zum Herzen vorgeführt und der Abgang der Herzkranzgefäße sondiert.

Anschließend wird über den Katheter vorsichtig von Röntgenkontrastmittel gespritzt. Aus verschiedenen Blickwinkeln werden die Herzkranzgefäße und mögliche Veränderungen mit Röntgentechnik dargestellt und dokumentiert. Die Untersuchung dauert ca. 15-30 min.  Am Ende wird der Gefäßzugang entfernt und ein Druckverband angelegt.

In der Regel führen wir die Untersuchung ambulant durch und Sie können nach ca. 4 Stunden das Herzkatheterlabor wieder verlassen. Bei besonderen Situationen erfolgt die Untersuchung stationär mit einer Überwachung im Krankenhaus.

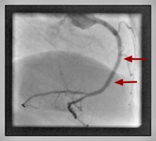
Percutane Koronarintervention Herzkranzgefäßeinengung Kardiologie Garbsen
Herzkranzgefäßeinengung
Percutane Koronarintervention Herzkranzgefäßeinengung behandelt Kardiologie Garbsen
Herzkranzgefäß nach Intervention

Percutane Koronarintervention (PCI) und Stentimplantation

Bei Nachweis einer Verengung (Stenose) in einem Herzkranzgefäß erfolgt die Koronarintervention fast immer direkt im Anschluss an die diagnostische Herzkatheteruntersuchung. Unter Röntgenkontrolle wird zuerst über einen feinen Draht ein Ballon in die Engstelle platziert und mit hohem Druck geweitet (Ballondilatation).

Im Anschluss wird in der Regel zur Stabilisierung des Ergebnisses und zur Verhinderung einer Wiedereinengung (Re-Stenose) eine Gefäßstütze (Stent) eingesetzt. Während der Ausdehnungsbehandlung kann ein kurzzeitiges Druckgefühl im Brustkorb auftreten.
Am Ende der Untersuchung erfolgt die Entfernung des Gefäßzugangs und Anlage eines Druckverbands. Nach dem Eingriff ist eine stationäre Überwachung in der Regel von 24 Stunden notwendig. In den Monaten nach einer Koronarintervention müssen blutverdünnende Medikamenten (zumeist Acetylsalicylsäure (ASS) und Clopidogrel) eingenommen werden.